2016 yılında Kocaeli Üniversitesi Tıp Fakültesi’nde eğitim hayatımı tamamladım. İlk görev yerim olan Erzurum’un Narman ilçesinde Narman İlçe Devlet Hastanesi’ne atandığımda zorlu günler benim için başladı. Acil serviste doktor olarak çalışmak, canlara dokunmak güzeldi ancak kendimi tekrarlamaya başladığım hissi beni rahatsız ediyordu. Başarılı işler yapmanın ötesinde daha fazla kişiye ulaşmak ve kitlelere seslenmek gerektiğini düşünmüştüm hep. İşte tam da bu düşünceli zamanlarda atıldı temelleri Doktordan Haberler’in. Ben farklı farklı devlet hastanelerinde, sağlık kurumlarında gezerken bloğum dediğim bu siteden her geçen gün daha fazla kişiye hitap etmeye başladım. 2024’e girdiğimiz bu günlerde artık her gün binlere ve onbinlere ulaşmanın mutluluğu içerisindeyim. Bıkmadan usanmadan ziyaretçilerimin sorduğu sorulara doktor kimliğimle cevap vermeye devam edeceğim. Yüzbinlere, milyonlara ulaşmak dileğiyle 🙂
Eğitim Geçmişi
1997 yılında Nihat Kitapçı İlköğretim Okulu’nda başlayan eğitim serüvenim Yahya Kemal Ortaokulu ile devam etti. Ardından 2006 yılında Bursa Fen Lisesi, 2007 yılında ise Erzurum Fen Lisesi ile artık üniversite hazırlık sınavlarına hazırlık sürecine girmiştim. Lise eğitimim bitirmemle beraber 2010 yılında tıp hayatıma başlangıç yapmış oldum.
Nihat Kitapçı İlköğretim Okulu (1997 – 2002)
Yahya Kemal Ortaokulu (2002 – 2005)
Bursa Fen Lisesi (2006 – 2007)
Erzurum Fen Lisesi (2007 – 2010)
Kocaeli Üniversitesi Tıp Fakültesi (2010 – 2016)
Diploma ve Sertifika Bilgileri
Diploma Bilgileri
Sertifika Bilgileri
Klinik Deneyimi
Narman İlçe Devlet Hastanesi’nde 2018-2019 yılları arasında, Şenkaya İlçe Devlet Hastanesi’nde aynı dönemde ve Tekman İlçe Devlet Hastanesi’nde 2018-2019 yılları arasında profesyonel olarak görev aldım. Bu süre zarfında, Akşar Aile Sağlığı Merkezi’nde de 2018-2019 yılları arasında görev yaparak sağlık sektöründeki deneyimimi genişlettikten sonra, şu an itibariyle Karayazı Aile Sağlığı Merkezi’nde profesyonel kariyerime devam etmekteyim.
Sağlık, teknik veya herhangi bir konuda sorularınız mı var? Yardımcı olabileceğim bir konu var mı? İhtiyaçlarınız doğrultusunda size en iyi şekilde yardımcı olabilmem için lütfen benimle iletişime geçin.
Sağlık sorularınız için lütfen erhan.yavuz@saglik.gov.tr adresinden iletişim kurunuz. Site ile ilgili teknik konularda ise 0(501) 082 00 31 numaralı telefonu arayabilirsiniz. Tıbbi sorularınıza sadece yorum bölümüne yazmanız durumunda cevap verilecektir.
Özür dileriz ancak şu anda muayene kabulü gerçekleştiremiyoruz. Elde olmayan sebeplerden dolayı randevu talebinizi karşılayamıyoruz. Bu durumdan dolayı oluşan herhangi bir rahatsızlık için anlayışınızı bekler, yakın gelecekte size en iyi hizmeti sunabilmek adına üzerinde çalıştığımız konuları dikkate almanızı rica ederiz. Yakın zamanda tekrar denemeniz halinde size yardımcı olmaktan memnuniyet duyacağımızı belirtir, anlayışınız için teşekkür ederiz.
Adres Bilgileri
Şu an için muayene kabul etmemekteyim. Sadece internet üzerinden herhangi bir ücret talep etmeksizin siz değerli hastalarımın sorularına cevaplar veriyorum.
Şu an için muayene kabul etmemekteyim. Sadece internet üzerinden herhangi bir ücret talep etmeksizin siz değerli hastalarımın sorularına cevaplar veriyorum.
Yeni doğan bebekler için en önemli besin kaynağı anne sütüdür. Özellikle ilk altı ay anne sütünün alınması oldukça önemlidir. Bireyin hayatının sağlıklı bir şekilde geçirebilmesi ...
Vücudumuzun en hassas organlarından biri olan beynimiz kafatası gibi çok güçlü bir kemik yapısı ile korunmaktadır. Kafatasımız toplamda 8 kemik parçasının bir araya gelmesi ile ...
Çeşitli hastalıklar için kullanılan ve güçlü etkilere sahip olan antibiyotikler farklı formüllere sahiptir. Antibiyotik ilaçların etken maddeleri farklılık gösterir. İlaç alırken de ilaçla birlikte tüketilmemesi ...
Tuvalete gitme eğilimimiz genel olarak insanlar tarafından kontrol edilecek bir durum olarak görülmez ancak bazı durumlarda tuvalete çıkma sıklığı arttığında veya çok azaldığında bu durumu ...
Kulak arkasında görülen şişkinlikler kimi zaman önemsenmese de aslında ciddi sorunların belirtisi olabilir. Kulak arkası şişkinliği tek başına kendisi bir hastalık değildir. Vücutta görülen bir ...
Üzerinde birçok tartışmanın yapıldığı vekaletname için sağlık raporu istenmesi hususunda kafa karışıklığını yazının devamını okuyarak giderebilirsiniz. Genel algı 65 yaş ve üzeri kişilerin noterde ve ...
Guatr için Hangi Bölüme Gidilir? Guatr için hangi bölüme gidilir konusuna geçmeden önce kısaca bazı bilgiler vermek istiyorum. Boyun bölgesinin alt tarafında dışarıdan bakıldığında kelebek ...
Kaşlarda görülen dökülmeler çok can sıkıcı olabilmektedir. Kaş dökülmesi için hangi bölüme gidilir konusu bu sorunu yaşayan kişiler tarafından oldukça önemlidir. Kaşların dökülmesi birçok faktöre ...
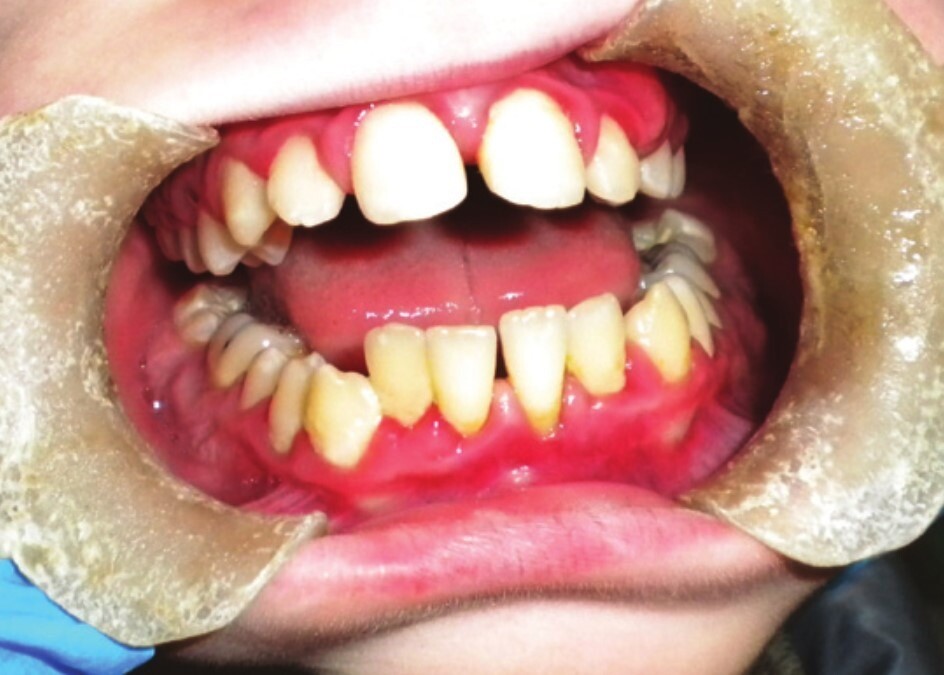
Papillon Lefevre Sendromu Nedir? Papillon Lefevre Sendromu, 1 ile 5 yaş arasında belirginleşen ender genetik hastalıklardan birisidir. Avuç içlerinde ve ayak tabanların yamalar gelişmesi ile ...
Ferroportin Hastalığı Nedir? Ferroportin Hastalığı ya da başka bir deyişle tip 4 hemokromatozis vücutta aşırı derecede demir birikimi ile karakterize ender hastalıklardan bir tanesidir. SLC40A1 geninde ortaya ...
Stargardt Hastalığı Nedir? Stargardt Hastalığı, ilerleyici görme kaybına neden olabilen genetik bir göz hastalığıdır. Etkilenen bölge görme alanı olan maküla bölgesidir. Görme kaybı lipofusin olarak ...
İnce İğne Aspirasyon Biyopsisi Nedir? İnce İğne Aspirasyon Biyopsisi, genellikle meme, tiroid, boyun, koltuk altı lenf düğümlerinden örnek alabilmek amacıyla kullanılan invaziv bir biyopsi çeşididir. ...