Servikal Lordoz Düzleşmesine Genel Bakış
Boynumuz, anatomik olarak başın agırlığını taşıyan, başı gövdeye bağlayan ve başın duyusal işlevini yerine getirmek amacıyla gereken hareket açıklığına olanak veren bir yapıdır. Bu yapıda meydana gelen en ufak bir bozukluk etkilenim düzeyi önemli olmaksızın yaşam kalitesini önemli ölçüde azaltabilmektedir. Bu sebeple diğer ağrı alanlarına kıyasla boyunla ilgili şikayetleri bulunan hastalar daha sık uzmana danışabilirler.

Her şeyden önce en hareketli vertebralar boyun bölgesinde bulunur. Bu nedenle rotasyonel aktiviteler, lateral fleksiyon aktiviteleri, ekstansör ve fleksör aktivitelerde geniş yelpazede hareket açıklığına sahip olması bir parçada olsa bununla ilişkilidir. Bu hareketlilik fonksiyonel olarak avantajlı sağlasa da stabilizasyon konusunda kayıplara gebedir.Örneğin ani durma ile meydana gelen wiplash yaralanmalarında servikal bölgedeki hareketlilik ,hem nörolojik hem de ortopedik temelli problemlere neden olur. Ayrıca akıllı telefon kullanımı sırasında çok uzun süre hareketsiz kalan boyun kasları gevşeyemez ve kaslardaki bu gerginlik omurlar üzerinde baskıya neden olur.Uzun süreli ve sık tekrarlanan bu baskı omurların pozisyonlarını değiştirerek servikal lordoz düzleşmesine neden olur.

Vucudumuz 33 tane omurdan oluşan bir kolonun etrafında şekil alır.Vertebra olarak isimlendirdiğimiz bu yapılar yükün tek bir yapı üzerinde yoğunlaşmasını engellemek için ‘sıvı’ bir forma sahiptir ve etrafında güçlü bağlar vardır.Omurgamız nucleus pulposus ve annulus pulposus adı verilen yapılar ile sabitliğini korur. Sıvı içeriği yüksek olan ve vertebraların bir bütün halinde aktive olabilmesi için gerekli olan vertebralar arasında bulunanan diskler yaşlanma ile morfolojik olarak başkalaşır.Bu diskler sıvı içeriğini kaybeder ve bu kayıp eşit şekilde yük dağılımında büyük bir engeldir. Sıvı içeriği yükün tek nokta üzerinde yoğunlaşmasına ve disklerin deforme olmasına engel olur.
Aslında baktığımızda servikal diskler omurganın diğer bölgelerinde bulunan disklerden farklılık gösterir. Servikal diskleri çevreleyen annulus fibrosus ön tarafta kalınlaşırken arkaya ve yanlara doğru incelir. Yani diskin ön kısmı arka kısma göre daha kalındır ve bu da fizyolojik servikal lordozu oluşturması yönüyle önem arz eder.
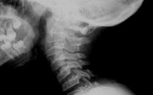
Servikal Lordoz Nedir?
Boyun bölgesinde 7 adet vertebra vardır bu vertebralar yandan tepe noktası boynun ön bölgesi olan ’C ‘ harfini andırır. Boyun bölgesindeki omurga eğriliğini servikal lordoz olarak ifade ediyoruz. Bu eğri tamamen normaldir ve aslında arzu ederiz, çünkü kafa ve omurganın stabilize edilmesine yardımcı olur. Fakat eğrinin düzleşmesi yani fizyolojik lordoz olarak ifade ettiğimiz açının azalması yada kaybolup ’ I ‘ şeklini alması durumunda boyun düzleşmesi olarak ifade ettiğimiz klinik tablo ile karşı karşıya kalırız. Hatta bu eğri daha da ilerleyip tersine açılanma gösterirse tablonun daha ciddi bir hal alması söz konusudur.
Servikal Lordoz Düzleşmesinde Boyun Bölgesinde Ne Gibi Değişiklikler Olur?

Boyunda fleksiyon, alt servikal bölgede lordoz artışı söz konusudur. Ayrıca skapulalarda protraksiyon, üst torakal bölgede kifoz artışı belirginleşir. Boynun ön kısmındaki kaslarda kısalma, arkadaki kaslarda ise gerginlik söz konusudur. Levator skapula, SKM, skalen, suboksipital, pektoralis major ve minör, trapezius üst kısmı izometrik kasılırken, alt servikal, torasik erektör spine, rhomboid kaslar ve trapezius orta ve alt kısmı uzamış ve gergindirler.Kasların gerilmesi alt çenenin geriye çekilmesine neden olduğu için bu duruma temporamandibular eklem ağrıları eşlik edebilir.
Omurganızda Bu Eğrilere Neden İhtiyaç Duyuyoruz?

Düz bir servikal omurga, şok absorbe etme kabiliyetini kaybeder. Bu da disk üzerinde ekstra bir baskı oluşturur ve diskin daha kolay bir şekilde kırılmasına neden olur ki bu durum ilerleyen süreçte vertebra dejenerasyonuna neden olur. Bu sorun tıp dilinde dejeneratif eklem hastalığı , dejeneratif disk hastalığı veya osteoartrit olarak adlandırılır.
Servikal omurganın düzleşmesi ve ilerleyip ters ‘C’biçimini alması durumunda boynun arka tarafındaki tüm anatomik yapılar gerilir. Vertebral atardamarlar da da gerilim söz konusu olacağından çaplarında daralma ve beyne giden kan akımında azalma söz konusudur. Bu, baş dönmesi, baş ağrısı, mide bulantısı, yorgunluk, kulak çınlaması, ağrı, sinirlilik, uykusuzluk, yüksek tansiyon ve kafa karışıklığına neden olabilir.
Servikal eğilimin olmaması, kişinin omurga uyumundan daha hızlı çıkmasına neden olur. Bu nedenle, daha fazla ağrı ve rahatsızlık hissi kaçınılmaz olur.
Fizyolojik Servikal Lordozun Azalması Ne Tarz Sorunlar Oluşturur?
Normal boyun eğrisi olarak ifade ettiğimiz fizyolojik lordoz açısında azalma söz konusu olduğunda, başımızın ağırlığı artık üst sırt bölgesinde bulunan ve kifoz olarak bilinen eğri ile dengelenmez. Baş,baş ağrısına neden olan kasların kafatasına yapıştıkları yere aşırı yük getiren ve boynun arkasında bulunan suboksipital kaslar,splenius capitis ve cervisis tarafından tutulur. Başı dik tutmak için bu kasların gücüne ihtiyacımız var. Peki neden başı dik pozisyonda tutmak önemlidir? Çünkü başın dik durması omurgalar arasındakı disklere daha fazla ağırlık aktarılmasını ve beraberinde gelen daha fazla yıpranmış disk dejenerasyonunu önemli ölçüde engeller.
Boyun Düzleşmesi Nasıl Önlenir?
Servikal lordoz düzleşmesi belirgin olarak yanlış kinestetik komponentlerden dolayı oluşur.çünkü boynumuz normal şartlar altında bu tarz bir yüklenmeyi tolore edebilecek güçtedir.bunun için günlük yaşantınızda boyun sağlığınızı da düşünerek aktiviteleri gerçekleştirmeniz gerekir. Örneğin telefonlarımızı genelde yüzümüze dik açıyla tutmayıp yere doğru yaklaşık 45 derece eğimli bir şekilde uzun bir süre tutmak neticesinde baş bu konumda durmaya uyum sağlar ve normal anatomik pozisyona aykırı bir duruşa alışır.Bu da uzun vadede büyük sorunlar oluşturacak ortapedik deformitelerin habercisidir. Bunun yanı sıra boynun arka tarafındakı kasların güçlendirilmesi ve stabilizasyonunun sağlanması başarılırsa servikal lordoz düzleşmesiriski de azalır.Bu sebeple internette karşılaştığınız egzersizleri uygulamadan önce mutlaka bir uzmana danışmanız gerekiyor!
sagittal planda se t1 ve fse t2 ağırlıklı aksial planda gre ağırlıklı c3-4 ,c5-6 disk mesafeleri daralmıştır.tip-2 dejenerasyon nedir.c3-4 düzeyinde hafif derece santral posterior protrüzyon mevcuttur.c5-6 düzeyinde sağ ağırlıklı santral posterior protrüzyon izlenmiştir.spinal kord sağ anteriordan basılıdır. sonuç.servikal lordozda düzleşme servikotorasik skolyoz tarif edilen disk patolojileri bu yorumu açıklayabilirmisiniz.teşekkür ederim.
SERVİAL MR–degerli hocam kordoz düzleşmesi anterior subaraknoid mesefa daralmasi c3-4 de c4/5posteriror prozyon mevcut daralma c5/6 jenaralize bulging mevcut daralma c6/7 posteriror prozyon dalmasi var sırtımda agrı var bundan kaynalanıyor olabılırmı