Tıbbi Kontrol : Bu yazı tıbbi açıdan Dr. Erhan Yavuz tarafından kontrol edilmiştir. ✔️ İçerik Politikası
Radyolüsent Nedir?
Radyolüsent, tıpta hastalıkların teşhis edilebilmesi ve tedavi planlaması yapılabilmesi için kullanılan radyolojik görüntülemelerde ışın geçirir özellik gösteren durumları ifade etmek için kullanılır. MR, tomografi veya röntgen gibi ileri görüntüleme tetkiklerinde bu terim çok önemlidir.
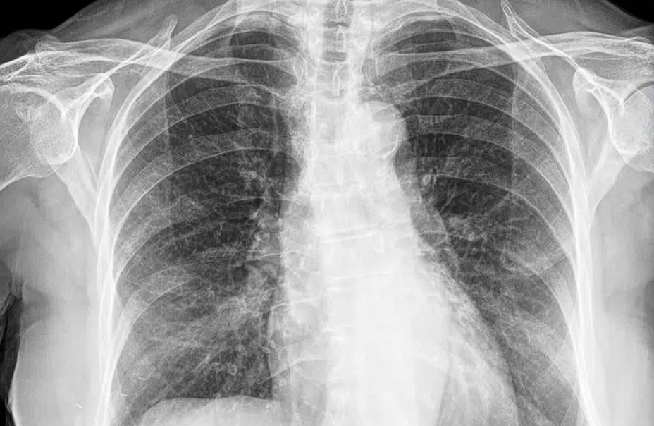
Radyolüsent alanlar ışığı geçirdikleri için koyu renkte görünürler. Bu noktada kemik dokuları ile ilgili bir örnek vererek konuyu açıklığa kavuşturmak istiyorum. Kemik dokusu radyolüsent değildir ve röntgende görüntülenirken ışığı geçirmez ve emer. Dolayısıyla daha parlak görünürler. Radyolüsent olmayan yapılar radyoopak olarak isimlendirilir.
Şekilde bir röntgen filmini görüyorsunuz. Bu filmde kemikler radyolüsnt değil radyoopak görünümdedirler.
Işın geçirmez manasına gelen radyolüsent terimi ile ilgili yazımı bitirmiş bulunuyorum. Bu konuyla ilgili aklınıza takılan sorular mevcutsa yorumlara yazabilirsiniz. Cevap vermekten keyif alacağım. Yorumlarınızı bekliyorum.
UYARI: Bu makale, bir doktor tarafından yazılmış ve profesyonelce incelenmiştir. Sağlık ve tıp alanında genel bilgilendirme amacı taşır ancak kişisel tıbbi önerilerin yerine geçmez. Özel sağlık durumlarınızı değerlendirmek ve tedavi seçenekleri hakkında bilgi almak için lütfen bir sağlık kuruluşuna başvurun. Profesyonel sağlık ekibimizi incelemek ve editöryal sürecimiz hakkında bilgi sahibi olmak için tıklayınız.
2016 yılında Kocaeli Üniversitesi Tıp Fakültesi'nde eğitim hayatımı tamamladım. İlk görev yerim olan Erzurum'un Narman ilçesinde Narman İlçe Devlet Hastanesi'ne atandığımda zorlu günler benim için başladı. Acil serviste doktor olarak çalışmak, canlara dokunmak güzeldi ancak kendimi tekrarlamaya başladığım hissi beni rahatsız ediyordu. Başarılı işler yapmanın ötesinde daha fazla kişiye ulaşmak ve kitlelere seslenmek gerektiğini düşünmüştüm hep. İşte tam da bu düşünceli zamanlarda atıldı temelleri Doktordan Haberler'in. Ben farklı farklı devlet hastanelerinde, sağlık kurumlarında gezerken bloğum dediğim bu siteden her geçen gün daha fazla kişiye hitap etmeye başladım. 2024'e girdiğimiz bu günlerde artık her gün binlere ve onbinlere ulaşmanın mutluluğu içerisindeyim. Bıkmadan usanmadan ziyaretçilerimin sorduğu sorulara doktor kimliğimle cevap vermeye devam edeceğim. Yüzbinlere, milyonlara ulaşmak dileğiyle :)
Sitemize yorum yazarak Yorum Politikası kurallarını kabul etmiş sayılırsınız. Yorumlarınızda asla tıbbi tavsiye vermeyin. Gerçek bir sağlık profesyoneli olsanız bile hastayı muayene etmeksizin vereceğiniz bilgilerin hastaya zarar verebileceğini unutmayın.
“Radyolüsent Nedir? Tıpta Ne Demektir?” üzerine 2 yorum
sap akciğer alt zonda radyolüssense artışı var nedemek Akciğer işaretlerinde azalma görülmekde karaciğer parankim ekosu grade 1steatoz lehine düffüz artmıştır karaciğer parankiminde sol lopta büyüğü34x4mm boyutlarında 5.6 adetsağ lopta ise segment 7lokanizasyonunda 21mm capında ultrasonografik olarak öncelikle hemonjomu düşündürür hiperekoik kitleler mevcuttur piremer maligniteli olguda mr gösterir bunu acıklaya bilirmisiniz 7 yılı askın süredir kanser tedavisi gören bir hastadır kendisi 68 yasnda
Merhabalar Oya Hanım, öncelikle geçmiş olsun.
Çekilen akciğer grafisinde ışın geçirir bölgede artış saptanmış. Bahsi geçen hasta oldukça kompleks bir hasta olduğundan ötürü bu bilgiler ışığında hastanın ve hastalığın gidişatı hakkında bilgiler vermek doğru olmayacaktır. Bu bilgiyi lütfen hastanızı takip eden ve muayenesini yapan doktorunuzdan isteyiniz. Beni anlayışla karşılayacağınızı umut ediyorum.
Sağlıklı ve mutlu günler dilerim.
sap akciğer alt zonda radyolüssense artışı var nedemek Akciğer işaretlerinde azalma görülmekde karaciğer parankim ekosu grade 1steatoz lehine düffüz artmıştır karaciğer parankiminde sol lopta büyüğü34x4mm boyutlarında 5.6 adetsağ lopta ise segment 7lokanizasyonunda 21mm capında ultrasonografik olarak öncelikle hemonjomu düşündürür hiperekoik kitleler mevcuttur piremer maligniteli olguda mr gösterir bunu acıklaya bilirmisiniz 7 yılı askın süredir kanser tedavisi gören bir hastadır kendisi 68 yasnda
Merhabalar Oya Hanım, öncelikle geçmiş olsun.
Çekilen akciğer grafisinde ışın geçirir bölgede artış saptanmış. Bahsi geçen hasta oldukça kompleks bir hasta olduğundan ötürü bu bilgiler ışığında hastanın ve hastalığın gidişatı hakkında bilgiler vermek doğru olmayacaktır. Bu bilgiyi lütfen hastanızı takip eden ve muayenesini yapan doktorunuzdan isteyiniz. Beni anlayışla karşılayacağınızı umut ediyorum.
Sağlıklı ve mutlu günler dilerim.