Douglasta sıvı birikmesi genelde kadın hastaların ultrason ile muayenesi sırasında rahmin arka bölümü olan douglasta serbest şekilde mayi yani sıvı toplanması durumuna verilen addır. Normalde sağlıklı insanlara ultrasonla bakıldığında douglasta az miktarda serbest sıvı izlenmektedir ancak bu durum her zaman fizyolojik olmayabilir. Bazen pelvik bölgede douglasta minimal sıvı birikmesi patolojik seyirli olabilir. Bunun belirlenmesi için bir kadın doğum hekimi tarafından muayene yapılmalı ve değerlendirilmelidir. Bu yazımda normal hastalarda ve gebelikte douglasta sıvı birikmesi ile ilgili bilinmeyen tüm detayları paylaşacağım. Ayrıca yorum bölümünden sizin raporlarınızı yorumlamaya çalışacağım.
Douglasta Sıvı Nedir?
Kadınlarda rahmin douglas adı verilen bölümünde sıvı birikmesi sıklıkla rahim içi enfeksiyonları, yapışıklıkları, rahim kanseri ve diğer rahim patolojileri nedeniyle ortaya çıkmaktadır. Zaman zaman douglasta mayi birikimi olmakta ve kendiliğinden geçmektedir ancak kendiliğine geçmezse tehlikeli bir hal alabilir. Bu gibi durumlarda mutlaka bir kadın doğum hekimine başvurulmalıdır.
Douglas Ne Demek: Kadın vücudunda rahim ile rektum bölgesinin arasında kalan minik bir alana verilen isimdir.

Douglasta mayi birikmesi bazen kanser gibi ciddi patolojik durumların habercisi olabileceği için mutlaka önemsenmelidir.
Normalde ultrasonda douglasta sıvı izlenmemiştir veya douglasta sıvı olmaması beklediğimiz normal sonuçtur ancak dediğim gibi hafif düzeyde olması da normal kabul edilebilmektedir.
Douglasta Sıvı Neden Birikir?
Rahmin douglas adı verilen bölümünde sıvı birikmesi onlarca farklı nedenden ötürü ortaya çıkabilir. Bu nedenle her hasta özeldir ve kendi içinde değerlendirilmelidir. Douglasta sıvı izlenmiştir şeklinde bir ultrason sonucunun nedenleri aşağıdaki gibi olabilir:
- Rahmin iltihaplanması
- Pelvik inflamatuar hastalık
- Cinsel yolla bulaşan hastalıkların varlığı
- Bağırsak enfeksiyonu
- Yumurtalık kistleri
- Rahim tümörleri
- Yumurtalık tümörleri
- Endometriyozis
- Apandisit
- Divertikülit
gibi hastalıkları sayabiliriz.
Douglasta Sıvı Birikince Ne Olur?
Daha öncede belirttiğim gibi douglasta fizyolojik sınırlarda serbest sıvı bulunabilmektedir. Bu fizyolojik sınırın üzerinde bir mayi toplanması söz konusu olduğunda artık patolojik durumlar gözden geçirilmelidir. Peki fizyolojik sınırların üstünde olacak şekilde douglasta az miktarda serbest sıvı izlenmektedir dendiği zaman hastada ne gibi belirtiler ortaya çıkar? İşte o belirtiler:
- Karın bölgesinde ağrı oluşabilir.
- Bulantı ve zaman zaman kusma görülebilir.
- Ateşlenme ve üşüme belirtileri gözlenebilir.
- Kabızlık eşilik edebilir.
- İdrar yaparken yanma şikayeti görülebilir.
- Vajinal akıntı gözlenebilir.
- Adet düzensizliği görülebilir.
- Cinsel ilişki esnasında ağrıya sebebiyet verebilir.

Douglasta serbest sıvı belirtileri önemsenmelidir çünkü kanser gibi önemli rahatsızlıklara işaret ediyor olabilir.
Douglasta Sıvı Ağrı Yapar mı?
Evet bu alanda fizyolojik sınırların üstünde biriken sıvı nedeniyle ağrı oluşabilir. Bu tip ağrılara hangi patolojinin sebep olduğu ise kadın doğum hekimi tarafından araştırılmalıdır.
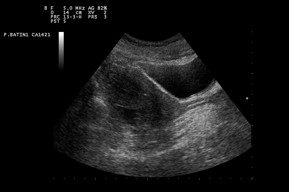
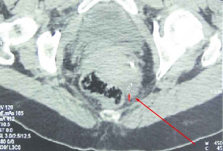
Douglasta Serbest Mayi Nasıl Teşhis Edilir?
Douglas boşluğunda sıvı birikmesi durumu genellikle kadın doğum hekimine başvuran hastaların ultrason yöntemi ile muayenesi esnasında tespit edilmektedir. Bu alanda biriken sıvı elle yapılan fizik muayenelerde kolayca tespit edilemez.
Genelde ultrason yöntemiyle tespit edilse de BT gibi ileri görüntüleme tetkiklerinde de bu sıvı görülebilmektedir. Douglasta sıvı artışı yeteri kadar olduğunda ultrasonda rahatlıkla teşhis edilir.
Douglas Boşluğunda Sıvının Tedavisi Var mı?
Douglas boşluğunda sıvı tespit edilen kadınların en çok sorduğu sorulardan bir tanesi “douglasta serbest sıvı nasıl geçer” şeklindedir. Bu bölgede fizyolojik sınırın altında oluşan sıvılar kendiliğinden düzelebilir veya tekrar oluşabilir. Bunda herhangi bir problem yoktur ancak douglasta sıvı artışı görülmesi olayı fizyolojik boyutun dışına çıkarmaktadır.
Rahimde douglasta sıvı tedavisi için öncelikle altta yatan neden tespit edilmelidir. Altta yatan patoloji tespit edilir edilmez nedene yönelik bir tedavi başlatılmalıdır. Görülen enfeksiyonlarda ve iltihaplanmalarda antibiyotik tedavileri , tümörlerde cerrahi tedavi seçenekleri, ağrının kontrol altına alınması için ağrı kesici ilaçlar, sıcak kompres ve sıvı alımının arttırılması gibi prosedürler ile başarılı sonuçlar elde edilmektedir.
Bu noktada dikkat edilmesi gereken bu tedavileri doktor kontrolünden sonra doktorunuzun uygun görmesi ile uygulayabilecek olmanızdır. Doktorunuzun önerisi dışında tedavi uygulamayınız.
Douglasta Sıvı Birikmesi Gebeliğe Engel Olur mu?
Normalde douglasta fizyolojik sınırlarda minimal sıvı izlenmesi gebeliğe engel bir durum değildir. Zaten olağan akışın bir parçası olduğu için gebelikle ilişkili bir problem yaşanmayacaktır.
Douglasta sıvı artışı fizyolojik sınırları geçtiğinde gebeliğe engel olup olmayacağını belirlemek için altta yatan neden belirlenmelidir. Örneğin rahimde tümör olması gebelik sürecini olumsuz etkileyecektir. Oysa rahimde iltihap olması tedaviden sonra gebelikle ilişkili hiçbir probleme sebebiyet vermez.
Gebelikte douglasta sıvı birikmesi normal olarak değerlendirilebilir ancak bu gebelik fizyolojisinin üzerinde olmamalıdır. Bu noktada kadın doğum hekiminden destek almalısınız.
Douglasta Sıvı Birikmesi Kısırlık Yapar mı?
Douglasta minimal, ılımlı ya da hafif serbest sıvı izlenmesi doğrudan kısırlık yapan bir etken değildir ancak bu bölgede sıvı birikmesine neyin sebep olduğu önemlidir. Altta yatan etken tedavi edilmediği takdirde kısırlığa neden olabilir.
Bu noktada kişi mutlaka bir hekime muayene olmalıdır. Bu sorunun en net cevabı muayene neticesinde verilecektir.
Sonuç olarak douglasta sıvı birikmesi tehlikeli bir durumdur ve mutlaka bir kadın doğum uzmanı tarafından değerlendirilmelidir. Aksi halde istenmeyen sonuçlara sebebiyet verebilir. Bu noktada siz değerli ziyaretçilerim rapor sonuçlarını aşağıdaki yorum bölümüne yazarsa cevaplamaktan mutluluk duyacağım. Raporlarınızı bekliyorum.
Hocam merhaba.
Mr sonucumda;
Solda frontal ve oksipital bölgede supraventriküler milimetrik gliotik hiperintens görünüm izlendi takip önerilir. Yorumlarmisiniz rica etsem.
1 yıldır arastirmalarim sonucu temporal lob epilepsi belirtilerini yaşıyorum. Genelde bilincaltimda rüyalarımdan kesitleri aklima geliyor istemsizce o an hemen burnuma cok tuhaf tarif edemeyecegim kokular geliyor sonra midem bulaniyor ve karnim agriyor. O kadar rahatsiz edici bir durum ki tarifi imkansiz. Gecen hafta 3 gün boyunca yasadim ve şuan deprosyana yada anksiyeteye çevirdi beynim o kadar yoruldu ki hala kendime gelemiyorum.
Ne yapmam gerekiyor bilmiyorum yardimci olursaniz cok cok mutlu olurum.😔
Merhabalar Filiz Hanım, öncelikle geçmiş olsun.
Supraventriküler milimetrik gliotik hiperintens görünüm ifadesi beyinde yaşlanma, hipertansiyon, diyabet, obezite, yüksek kolesterol gibi faktörlerle ilişkili olabilir. Bu görünüm, beyin dokusunda iltihaplanma, enfeksiyon, migren, vitamin eksikliği veya inme gibi diğer nedenlerden de kaynaklanabilir. Genellikle belirti vermeyebilir ancak bazen nöbetlere veya bilişsel bozulmaya yol açabilir. Takip gerektirebilir çünkü zamanla ilerleyebilir veya başka komplikasyonlara neden olabilir. Takip için en uygun yöntem ve sıklık, hastanın durumuna ve risk faktörlerine bağlıdır. Sizin yapmanız gereken nöroloji bölümüne başvurmaktır.
Sağlıklı ve mutlu günler dilerim.